EMA症例74:6月症例解説
6月の症例、いかがでしたでしょうか。70名を超える方からご回答をいただきました!ありがとうございました。
今回の症例は「女性の腹痛」でした。緊急疾患が隠れている、かつ油断するとだまされやすい、嫌な主訴だと思います。基本的な内容も多いですが、新年度ということで復習できればと思い、取り上げました。
「Q1.最初に何を行いたいですか?」に対しての回答を以下に示します。

腹部超音波を選択された方が最多でした。非侵襲的で、ERでも行いやすい、かつ緊急疾患を拾い上げるために行うべき検査ですね。腹水がないか、腫瘤がないか、などは早めにチェックしておきたいです。
また多くの方が「妊娠反応検査」を選択してくださいました。「女性を見たら妊娠と思え」は、ERでは使い古された教訓ですが、重要です。マネージメントが大きく変わりますし、『妊娠可能な女性の急性発症の腹痛は、そうでないとわかるまで異所性妊娠を念頭に!』ですね。(EMAの症例でも取り上げていますので、以下参照ください。)
https://goo.gl/N2yrQD
「問診を追加する」という方からは、性交渉歴、月経歴、産婦人科疾患の指摘や検診歴を聞く、という回答を多くいただきました。
「Q2.どのような疾患を鑑別の上位に挙げますか?」には、以下のような回答をいただきました。

さすが皆さん、重要な鑑別疾患を網羅してくださっています。グラフに示した以外では、PID/卵管卵巣膿腫、子宮筋腫捻転、虫垂炎などが挙がっていました。
実際の症例でも、まずは妊娠反応を確認しつつ、腹部超音波を施行しています。
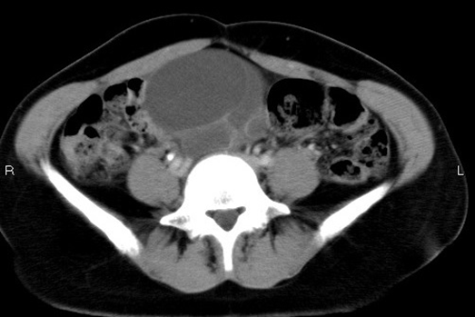
妊娠反応は陰性でしたが、異所性妊娠を念頭に腹水をチェック(認めませんでした)。下腹部に嚢胞性の腫瘤が描出され、皆さんからの回答で最多だった卵巣茎捻転がますます疑わしくなりました。commonな疾患として、尿路結石やイレウスも頭に浮かびますが、水腎症やto and fro movementの欠如は明らかではありませんでした。その後、他疾患の除外+確定診断のため、腹部造影CTを行っています。
画像の通り、卵巣腫瘤(7cm×9㎝程)を認め、経過から茎捻転を疑い産婦人科にコンサルト。緊急手術となり、左卵巣嚢腫茎捻転と確定診断されました。(左の卵巣が180度捻じれていたそうです。)
●卵巣茎捻転
卵巣茎捻転は「女性の腹痛」で念頭に置くべき、婦人科緊急疾患の一つですね。卵巣機能を温存するために、早期の外科的治療が必要であり、迅速な診断・対応が求められます。
卵巣は、固有卵巣索と卵巣提索によって骨盤内で支持されていますが、固定はされていないため、卵巣あるいは付属器全体が、靭帯を軸に捻じれることがあり、これが茎捻転です。捻転によって卵巣の脈管が圧迫されるのですが、動脈の血流よりも先に、静脈還流が阻害されます。すると、卵巣の浮腫・腫大が生じ、それによりさらに圧迫が悪化→動脈血流の低下→虚血が生じ、壊死・梗塞・出血に陥ります。1) 腹膜炎を合併すると骨盤内の癒着が生じ、骨盤の疼痛や不妊の原因にもなります。
発生頻度はよく知られていませんが、緊急手術の2.7%を占めたという古い研究2)があります。あらゆる年齢の女性に生じますが、平均は20代後半から30代前半。妊娠可能年齢(20代~50代)が大部分を占めます。3-4) 右側の頻度が高いとされ(今回の症例は左ですが)、右の方が左よりも子宮卵巣靭帯が長いため捻転しやすく、さらに左にはS状結腸があるので捻転が妨げられるのだそうです。強い運動や、突然の腹圧上昇がきっかけとなることもあります。
<リスク>
卵巣の腫瘤
捻転の要因として最も多く、「90%近くの症例で腫瘤あり」と報告されています。3,5)
ですから、超音波で腫瘤が描出できれば、積極的に考える必要がありますね。
腫瘤が存在することで卵巣が靭帯の軸に沿って回転しやすく、また捻転した位置で固定されやすくなるのです。特に直径5㎝を超える場合はリスクが高いですが、一方、骨盤内で固定される程に大きくなると、リスクは低下します。3)
ただし、正常の卵巣(腫瘤や腫大がない)であっても捻転は生じ、15歳以下の小児において「捻転の50%以上を正常卵巣が占めた」という報告もあります。6)
妊娠
妊娠は茎捻転のリスク因子です。妊娠10~17週が好発ですが、どの時期にも生じます。
また、不妊治療としての排卵誘発も、卵巣や嚢胞を腫大させるため、捻転のリスクとなります。
既往
茎捻転は再発することがあり、既往はリスクです。ちなみに正常卵巣の方が、異常卵巣よりも再発の頻度が高いのだそうです。
<症状>
典型的には、「突然の発症」の「中等度~強度の痛み」であり、合致する病歴があれば疑わなければなりません。圧痛を認めることが多いですが、3分の1では圧痛を認めません。腹膜刺激徴候を呈することは稀ですが、もし認めれば付属器壊死の可能性を考えることになります。他にも表1のような症状がありますが、非特異的なものも多く、診断はときに困難です。
<検査>
妊娠反応検査は必須です。重要な鑑別である異所性妊娠を否定すると同時に、上述の通り、妊娠していると捻転のリスクは上がります。
画像検査の第一選択は超音波で、表2のような所見を認めます。
図2. Multiple small peripheral follicles(→が濾胞。文献8より引用)

腹部CTは診断のスタンダードではありませんが、上述した超音波所見と同様の所見が得られることに加え、急性発症の腹痛・骨盤痛の鑑別(例えば虫垂炎の否定)のために、ERでは撮影されることが多いと思います。
確定診断は、「外科的に、回転した卵巣を直接確認すること」で行われますが、手術に至るまでの診断は、症状・身体所見・画像所見を組み合わせて下すことになります。
症状は前述の通り非特異的なものが多いので、茎捻転らしさを検討しながら、他の緊急疾患を除外していく、というプロセスになるでしょう。異所性妊娠、卵巣嚢胞の破裂、PID/卵管卵巣膿腫、虫垂炎といった鑑別の可能性を考えつつ、茎捻転の生じるリスクを検討し、身体所見・超音波で腫瘤を探しにいく、という流れになりそうです。また「茎捻転か悩ましいけれど、他の疾患の可能性も低そう…」という場合には、積極的に婦人科に相談する姿勢も大切だと思います。
<マネージメント(治療)>
まずできる限り早期に捻転を解除することが重要です。壊死が生じるのは36時間以降という研究もありますが、壊死による卵巣のダメージは、時間が経過するにつれ持続的に進むので、当然解除が遅れる程、卵巣を温存できる確率は下がります。
以前は患側の卵管卵巣摘出がスタンダードな治療でした。しかし多くの観察研究で、温存した卵巣の多くは正常な機能を保てることが示され、特に閉経前の患者であれば、卵管卵巣摘出術よりも、『捻転を解除し卵巣を温存。合併症(出血、腹膜炎、癒着形成)を防ぐ。』というマネージメントが主流になってきています。悪性腫瘍が疑われるような場合や、閉経後の患者(卵巣温存の意義は下がり、悪性腫瘍のリスクは上昇)では、卵巣卵管摘出術が妥当とされます。
<Take Home Message>
◎女性の腹痛を見たら、妊娠反応と腹部超音波!
◎卵巣腫瘤があれば、茎捻転のリスク増!卵巣機能温存のために急ぐ疾患。
◎茎捻転は、急性の強い痛みならもちろん疑うが、非特異的な症状も多く、リスクと検査の合わせ技で疑う。
<参考文献>
1) Tinitinalli’s Emergency Medicine 7th Edition. Chapter 100: Abdominal and pelvic pain in the nonpregnant female.
2) Hibbard LT. Adnexal torsion.Am J Obstet Gynecol. 1985 Jun 15;152(4):456-61.
3) Houry D. Ovarian torsion: a fifteen-year review. Ann Emerg Med. 2001 Aug;38(2):156-9.
4) White M. Ovarian torsion: 10-year perspective. Emerg Med Australas. 2005 Jun;17(3):231-7.
5) Varras M. Uterine adnexal torsion: pathologic and gray-scale ultrasonographic findings. Clin Exp Obstet Gynecol. 2004;31(1):34-8.
6) Anders JF. Urgency of evaluation and outcome of acute ovarian torsion in pediatric patients. Arch Pediatr Adolesc Med. 2005;159(6):532.
7) UpToDate ”Ovarian and fallopian tube torsion”
8) Carolyn S. Ultrasonography of adnexal causes of acute pelvic pain in pre-menopausal non-pregnant women. Ultrasonography 34(4), 2015
最後に、今回回答をいただいた方の属性です。研修医の皆さんや救急の先生方はもちろん、学生さんや技師さん等、幅広くご回答をいただき嬉しく思っています。ありがとうございました。






