EMA症例5:6月症例解説
遅ればせながら、6月症例「激しい腰痛と足のしびれ」の患者さんの解説です。
皆さん、たくさんの勉強になるコメントをありがとうございました。ぜひ今後もたくさんの方の思考を共有できればと思いますので、よろしくお願いします。
さて、実際の救急外来では…
「突発の、激しい腰痛」からは、何といっても大動脈解離、腹部大動脈瘤破裂は、絶対に否定したいと考え、すぐにエコーを当てましたが、Aortaにfrapや瘤などの明らかな異常は認めず。
さらに「しびれる」という下肢の所見。以下のようなポイントについて所見を取りました。
・痛み→圧痛はなし 自発痛ははっきり答えず
・色調→両側とも皮膚色調不良 特に左下肢は蒼白
・血流→両側足背動脈触知せず
・運動→両側に麻痺あり(足関節をわずかに屈曲する程度しか動かせない)
・感覚→しびれると訴え(腰痛で詳細な問診はできないが過敏というよりは感覚鈍麻のよう)
急激に発症した腰痛+下肢の循環不良からはやはり、
・血管がやぶれた!=大動脈解離
・血管が詰まった!=動脈の塞栓
という病態が疑わしく、診断確定のために造影CTへ行きました。
しかもこの患者さんはモニター上、心房細動。心房細動患者の突然発症の病態には、必ず塞栓(上下肢動脈、腸管膜動脈、脳塞栓)を考えないといけない!というのもポイントですね。
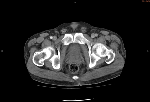
<造影CT>



診断は、急性下肢動脈閉塞。
腹部大動脈の総腸骨動脈分岐部より近位、さらに左総大腿~浅大腿動脈にも血栓像を認めました。
急性下肢動脈閉塞は「2週間以内に突然発症した、下肢の虚血」。
死亡率(20%)・合併症・肢切断率(30%)とも非常に高く、肢を切断から救うためにも、早期診断・治療が不可欠な緊急疾患です。今回はすぐさまCTが撮れる状況でしたが、CTなどがない施設では、下肢の血流不全の評価にABI(Ankle-Brachial Index)が役立つかもしれません。
本症例ではすぐに血管外科のDrをコールしながら、ヘパリンを投与→動脈内血栓除去術が施行されました。フォガティーカテーテル挿入し白色血栓を除去したところ、良好な血流再開が得られ、その後の経過も良好。歩いて退院できそうです。
この症例を通じて
まず「激しい腰痛」に注目すると…ERで診る腰痛の90%は良性の疼痛で、数週間で改善します。その中から見逃してはいけない腰痛を探すわけですね。
・決して見逃してはいけない(Must rule out!な)疾患:腹部大動脈瘤破裂、大動脈解離、子宮外妊娠破裂
・稀だが考慮すべき(Rare but considerな)疾患:感染症、悪性腫瘍
は念頭に置きながら、病歴・所見を取っていきましょう。病歴として
①発症時に何をしていた?(痛みの誘因は?)
:物を持ち上げる等明らかな誘因があれば筋骨格系の腰痛を疑う(力を入れた瞬間に血管が裂けた可能性も否定はできないが…)
②突然発症?
:(上記のような明らかな誘因がなく)突然発症した腰痛はやっぱり危険。解離をはじめとした血管系を疑う!
③動いて痛いか?
:動かなくても痛いのは、血管も含めた内臓疾患、炎症、腫瘍を疑う
は大事ですね。本症例では、排尿後の突然発症(立ち上がる、力を入れるといった明らかな誘因なし)、しかもストレッチャーで横になっても痛みで苦悶様、と血管系・内臓系を疑う危険な病歴満載でした。
ちなみに腰痛の病歴Red flag(これに該当すれば感染症、悪性腫瘍等、見逃してはいけない腰痛の可能性あり ※1)としては、
・年齢:20歳未満または50歳以上 ・外傷歴 ・胸背部痛 ・安静時痛、夜間痛
・全身症状(発熱、寝汗、体重減少) ・悪性腫瘍の既往、免疫抑制
も有名です。ぜひ病歴聴取でチェックしましょう。
次に、急性下肢動脈閉塞について…原因として最も多いのが、動脈塞栓です。
塞栓のうち80%が心原性。心筋梗塞後の左室血栓・心房細動による血栓といった、心疾患が基礎にあることが多く、下肢塞栓の75%を占めます。ちなみにこの症例の心電図は↓。
心房細動がありました。(分かりにくくてすみません。モニターではもう少しはっきりしていました。)
塞栓の生じる部位は
大腿動脈:28%
上腕動脈:20%
大動脈腸骨動脈:18%
膝窩動脈:17%
塞栓に次ぐ原因には、動脈硬化・動脈壁在粥腫を基礎とした動脈血栓、心臓カテーテルなどの血管内操作による動脈損傷があります。
症状として5Pは有名ですね。pain(疼痛)、pallor(蒼白)、pulselessness(拍動消失)、paresthesia(知覚異常)、paralysis(運動麻痺)。今回の症例では、疼痛がはっきりしませんでしたが、他の所見はすべて当てはまり、進行した虚血を示唆する運動麻痺も出現していました。のでTASCⅡ(※2)の分類では虚血は「不可逆的」となるのですが、幸い肢の機能を回復することができました。(突発発症ですぐ救急要請→外科治療できたのがよかったのでしょうか。22時30分を発症時間とすると血流再開までの時間は左3時間30分、右4時間07分でした。)
治療としては、ヘパリンの静注とそれに続いての持続投与が推奨されています。外科的治療(血栓除去術やバイパス術)と、薬物治療(血栓溶解療法)については様々な比較研究が行われ、例えばTOPAS(※3)では発症14日以内の急性動脈閉塞患者の治療として、ウロキナーゼによる血栓溶解療法と外科治療を比較しており、
・アンプタを免れての6か月後の生存率は両群で差がない
・6か月後・12か月後の死亡率には差がない
・頭蓋内出血を含めた出血の合併は、血栓溶解療法の群で有意に多い
・血栓溶解療法群の40%に、6か月以内に引き続き外科治療が必要になったがopen surgical procedure(経皮的な手技以外の手術)は減らすことができた
という報告。
病態(塞栓か血栓か)、病変の部位や長さ、発症からの期間、バイパスグラフトとして使えそうな静脈の状態、によっても適切な治療は違い、個々の状態に応じて治療方法を決めていくことが勧められています。
長くなってしまいましたが、今回のポイントとして、
★「突発」の病態は、やっぱり血管系(血管が破れた!詰まった!)を絶対に疑ってかかろう!
★「心房細動」患者の「突発」には、必ず塞栓を考えよう!
★ 5PやABIで虚血を探そう!早期診断で肢を救えるかも。。
を挙げて終わりにしたいと思います。
参考文献
※1 Med Clin N Am 2006;90:505-523
※2 N Engl J Med 1998;338:1105
※3 J Vasc Surg 2007;45 SupplS:S5
