EMA症例129:1月症例解説
2022年1月症例の解説です。
今回、147名の方にご回答をいただきました。
この他、外科・泌尿器科・小児科・放射線科・神経内科の先生方、救命士の方々にご回答いただきました。たくさんご参加下さり、ありがとうございました。
今年初の症例はいかがだったでしょうか?
腹痛には多くの鑑別疾患があり、救急外来で苦労する主訴の一つですね。今回の症例について、先に診断を述べますと、「消化管寄生虫感染症による小腸の限局的な炎症および腸閉塞」でした。
どのように疑い、診療を進めていくかお示ししていきたいと思います。
急性腹症で心窩部から右下腹部にも痛みがあり、急性虫垂炎の様な病歴で来院された患者さんでした。見逃してはならない急性心筋梗塞や大動脈解離・瘤破裂や、コモンな急性虫垂炎・胆石発作・胆嚢炎・憩室炎などを鑑別に想定しながら問診・検査をすすめていきました。
AMPLE聴取をしたところ、魚介類の生もの摂取がありました。
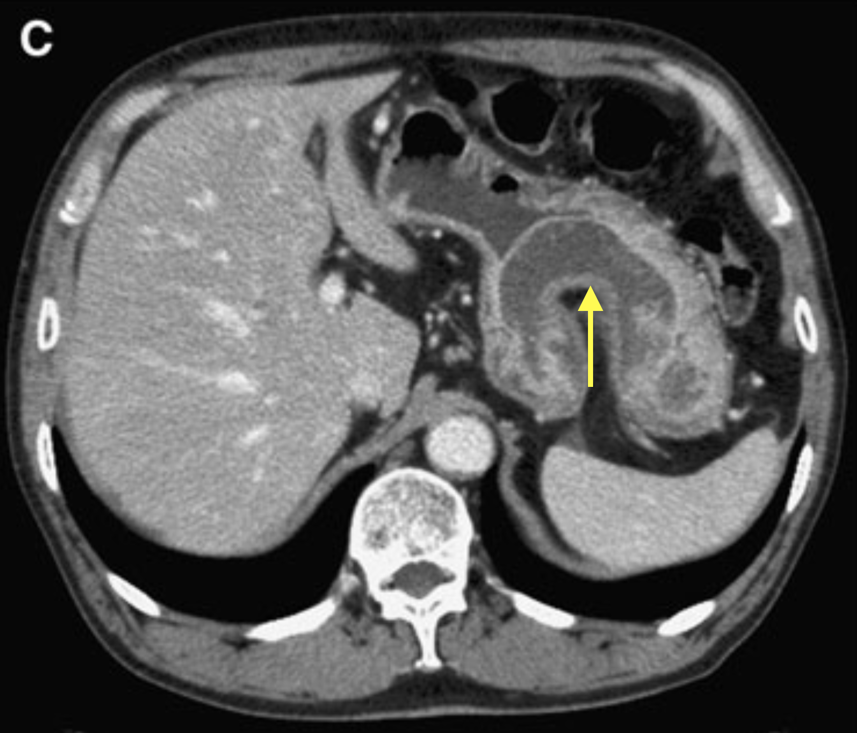
生ものの摂食歴を聞くと感染性腸炎の可能性が高くなるように思いますが、他疾患の鑑別をするためにもCT画像検査を行ったところ、右下腹部に限局した小腸壁の肥厚と、肥厚部位より口側の腸閉塞を認めていました(図1)。
(図1)
①限局的な腸管の浮腫をきたす疾患の鑑別
限局的な小腸壁の肥厚や浮腫をきたす鑑別疾患には以下があります(表1)1)
(表1)
本患者さんでは魚介類の生食の病歴がありました.生もの摂取が原因となる疾患といえば細菌性腸炎がメジャーかと思いますが、寿司や刺身といった生魚を食べる日本文化においては、寄生虫感染症も重要な鑑別疾患です。
魚介類を介する寄生虫感染症には、アニサキスや旋尾線虫、日本海裂頭条虫、横川吸虫などがあります2)が、中でもアニサキスと旋尾線虫は有名かと思います。
本患者さんは飲食店でマグロ・サバ・サーモン・ホタルイカの摂取歴がありました。特に、サバ・サーモンはアニサキス、ホタルイカは旋尾線虫による寄生虫感染症のリスクとなる食材です。
そこで、刺し身や寿司といってもどんな食材を使っているかということにまで問診を突き詰められたらと思い、設問を設定させていただきました。
主に、アニサキスは胃に、旋尾線虫は小腸に寄生する頻度が多い寄生虫です。本患者さんは病変の主座が小腸でしたので、旋尾線虫症を考えましたが、後に述べるように最終診断はアニサキス症でした。
小腸アニサキス症の19名の患者のCT画像所見を検討した研究では、全例で小腸壁の全周性の肥厚を認め(平均厚0.8cm)、壁肥厚を伴う腸管の長さは平均は7.9cmであったという報告があります3)。
以上より、限局的な小腸壁の肥厚を認めた場合には、後述するように48時間ほど遡って生もの摂取歴を確認し、腸アニサキス症を鑑別にあげられるといいですね。
胃アニサキス症を疑う画像所見も併せて解説します。
胃においても同様に全周性の壁肥厚を認めます。胃の壁肥厚を認めた場合の鑑別疾患には、胃がん、急性胃粘膜病変、悪性リンパ腫、消化管間質腫瘍、Ménétrier病が挙がります。
これらの他疾患と比較し、胃アニサキス症では胃の3層構造のうち2層以上の壁肥厚を認め、また肥厚した壁のCT値が低いことが特徴としてあげられます(図2)4)5)。
(図2:文献9より引用.造影CT門脈相.矢印:限局的な胃壁の肥厚)
旋尾線虫症も限局的な小腸壁の肥厚をきたすことが多いですが、特徴的な画像所見を研究した文献は見つけることができませんでした。もちろん画像所見だけで寄生虫の種類を判別することは困難ですので、診断のために必要な検査については後述します。
以降は、アニサキス症と旋尾線虫症についてお示しします。
②アニサキス症について
日本はアニサキス症大国であり、世界のアニサキス症の90%が日本で発生しているとも言われています。アニサキス症はAnisakis simplex、Anisakis physenteris、Anisakis pegreffii、Pseudoterranovaのいずれかの種によって引き起こされる人獣共通の寄生虫感染症です。Pseudoterranovaは厳密にはアニサキスとは異なりますが、同じアニサキス亜科に属するためアニサキス症に含まれます2)。
原因となる魚介類はサバが有名ですが、サケ、ニシン、タラ、イカ、マダイなどにもアニサキスは寄生しており、生食により感染のリスクがあります。ヒトで臨床的に問題となる感染部位は胃、腸、腸管外があります。90%が胃、5%が腸と言われていますが、腸アニサキス症の頻度の低さは確定診断がされていない症例も多く、報告数が少ないからではないかとも推察します(私見)。聖路加国際病院の過去の研究では10年間の期間において、83例のアニサキス症患者のうち、半数以上が腸アニサキスであったというものでした7)。
アニサキスは線虫の一種で、第2期幼虫が中間宿主であるサバなどに侵入し、第3期幼虫として体長2cm、幅1mm程度に成長し、感染した魚介類を摂取することでヒトに感染します。ヒトの胃腸の粘膜に侵入し、粘膜損傷を与えるとともに、IgEを介したアレルギー反応を起こし、強い痛みが生じます。アレルギー反応のため、時にアナフィラキシーを起こす場合もあります。8)
摂取から発症までのタイミングは、多くが胃アニサキスで6~12時間以内、腸アニサキスで48時間以内です8)9)。急性腹症の場合、前日までは食事内容を確認することが多いと思いますが、腸管寄生虫感染症を疑った場合は、2-3日で前まで聴取できるといいですね。

胃アニサキスであれば上部消化管内視鏡で虫体を直接確認することで診断がつきます。虫体は1匹とは限らないため、慎重な観察が必要です。一方、腸アニサキスの場合は内視鏡での観察が困難なため、抗アニサキスIgG・IgA抗体を用いた血清学的診断が参考となります。感度と特異度はそれぞれ70.4%,87.1%と言われています10)。また、アレルギー反応を起こした例に関しては抗アニサキスIgE抗体を用いた検査方法もありますが、過去のアニサキスへの曝露歴によってはIgE抗体が元々陽性の人もいるため、いずれの検査においてもペア血清を用いると診断能がより高まります。
本症例は小腸の病変であり、内視鏡での確認は出来なかったため、入院時と3週間後の抗アニサキスIgE抗体を測定し、有意な上昇を認めたために確定診断がつきました。
しかし、いずれの抗体検査も即日は結果を得られませんので、前述の様に病歴や画像所見から疑うことが重要です。
③旋尾線虫症について
旋尾線虫は体長5~10mm、幅0.1mmのアニサキスよりも小さな線虫で主に生のホタルイカを経口摂取することで感染します。ホタルイカ以外にもスルメイカ、ハタハタ、ホッケ、スケトウダラの内臓にも寄生しています。ホタルイカは3~6月に日本海沿岸で漁獲され、富山湾の名産品です。旋尾線虫症は主に腸閉塞型と皮膚跛行型に大別されます。腸閉塞型は摂取後48時間程度で腹痛や嘔気で発症することが多いです。アニサキスと比較し、旋尾線虫は大半が胃ではなく腸に感染します。腸型であり、かつ虫体も非常に小さいため、内視鏡での診断は困難であり、血清学的診断が診断の一助となりますが、抗体を測定できる機関が非常に限られています11)。
治療は、アニサキス症も旋尾線虫症も対症療法が基本となります。
痛みが強いため、アセトアミノフェンや場合によってはオピオイドに準ずる鎮痛薬を用いることが多いと思います。
余談になりますが、教育班内で臨床経験的に抗ヒスタミン薬が効果があるのではないかと話題になりました。前述のヒスタミンを介する疼痛のメカニズムを考慮すると、効果があっても不思議ではないと考えられました(残念ながら文献的には治療法としての記述を見つけられませんでした。)
なお、胃アニサキス症の場合は上部消化管内視鏡で虫体を除去することで治療可能です。
腸アニサキス症や腸旋尾線虫症の場合は、浮腫を起こした腸管による通過障害で腸閉塞をきたすことも多々あります。疼痛や腸閉塞に対する対症療法で保存的に治療可能ですが、経過中に小腸の虚血や穿孔により手術を要した症例もあり、慎重な経過観察が必要です4)。
アニサキス症に対しては、アルベンダゾールやグルココルチコイドを用いた治療も報告がありますが、データは限られています12)13)14)。
急性の強い腹痛を訴える腸閉塞の患者さんを診たら、緊急手術が治療選択肢として頭をよぎりますが、特徴的な病歴と画像所見から不要な侵襲的治療を避けられるといいですね。
本患者さんは腸閉塞を認めましたが、手術を要する絞扼性腸閉塞を疑う所見はなく、寄生虫感染症が疑われたためにイレウスチューブによる腸管の減圧を行い、保存的に治療を行い1週間ほどで軽快・退院されました。
最後に、これらの寄生虫感染症の予防法について説明します。
アニサキスは、-20℃で24時間以上の冷凍 or 70℃以上の加熱(60℃の場合は1分以上)で予防できます15)。
旋尾線虫は、ホタルイカの場合、生で食べたい場合は-30℃で4日間以上 or -35℃で15時間以上 or -40℃で40分以上冷凍したものを解凍して食べます。また、加熱する場合は沸騰水で30秒保持して熱を通すことで予防できます16)。
<take home message>
#急性腹症の鑑別のひとつに、寄生虫感染症を挙げよう
#サバやホタルイカなどの摂食歴が無いか、攻める問診をしよう
#限局的な消化管壁の肥厚を認めたら、寄生虫感染症を疑おう
<参考文献>
1)Ramos L, Alonso C, Guilarte M, Vilaseca J, Santos J, Malagelada JR. Anisakis simplex-induced small bowel obstruction after fish ingestion: preliminary evidence for response to parenteral corticosteroids. Clin Gastroenterol Hepatol. 2005;3(7):667-671.
2)杉山 広.総説 食品と寄生虫感染症.食品衛生学雑誌.2010;51(6):285-291.
3)Lee JS, Kim BS, Kim SH, et al. Acute invasive small-bowel Anisakiasis: clinical and CT findings in 19 patients. Abdom Imaging. 2014;39(3):452-458.
4)Nakajo M, Setoguchi Y, Onohara S, Nakajo M. Computed tomographic features of two cases of acute gastric anisakiasis. Abdom Imaging. 2011;36(5):509-513.
5)Ashida H, Igarashi T, Morikawa K, Motohashi K, Fukuda K, Tamai N. Distinguishing gastric anisakiasis from non-anisakiasis using unenhanced computed tomography. Abdom Radiol (NY). 2017;42(12):2792-2798.
6)Shibata K, Yoshida Y, Miyaoka Y, et al. Intestinal anisakiasis with severe intestinal ischemia caused by extraluminal live larvae: a case report. Surg Case Rep. 2020;6(1):253.
7)Takabayashi T, Mochizuki T, Otani N, Nishiyama K, Ishimatsu S. Anisakiasis presenting to the ED: clinical manifestations, time course, hematologic tests, computed tomographic findings, and treatment. Am J Emerg Med. 2014;32(12):1485-1489.
8) Lalchandani UR, Weadock WJ, Brady GF, Wasnik AP. Imaging in gastric anisakiasis. Clin Imaging. 2018;50:286-288.
9) Shibata E, Ueda T, Akaike G, Saida Y. CT findings of gastric and intestinal anisakiasis. Abdom Imaging. 2014;39(2):257-261.
10)Matsushita M, Okazaki K. Serologic test for the diagnosis of subclinical gastric anisakiasis. Gastrointest Endosc. 2005;61(7):931.s0016-5107(05)00505-5
11) 吉川正英, 松村雅彦, 山尾純一ら.報告 回虫症・アニサキス症・旋尾線虫症.G.I.Research.2006;14(4):357-363.
12)Pacios E, Arias-Diaz J, Zuloaga J, Gonzalez-Armengol J, Villarroel P, Balibrea JL. Albendazole for the treatment of anisakiasis ileus. Clin Infect Dis. 2005;41(12):1825-1826.
13)Moore DA, Girdwood RW, Chiodini PL. Treatment of anisakiasis with albendazole. Lancet. 2002;360(9326):54.
14)Carlin AF, Abeles S, Chin NA, Lin GY, Young M, Vinetz JM. Case Report: A Common Source Outbreak of Anisakidosis in the United States and Postexposure Prophylaxis of Family Collaterals. Am J Trop Med Hyg. 2018;99(5):1219-1221.
15)厚生労働省ホームページより:https://www.mhlw.go.jp/stf/seisakunitsuite/bunya/0000042953.html
16)国立感染症研究所ホームページより:https://www.niid.go.jp/niid/ja/kansennohanashi/431-spiruria-intro.html
以下のアンケートにもご回答いただけますと幸いです.よろしくお願いいたします.